Кейси лікаря: "Пародонтологія та Гігієна"

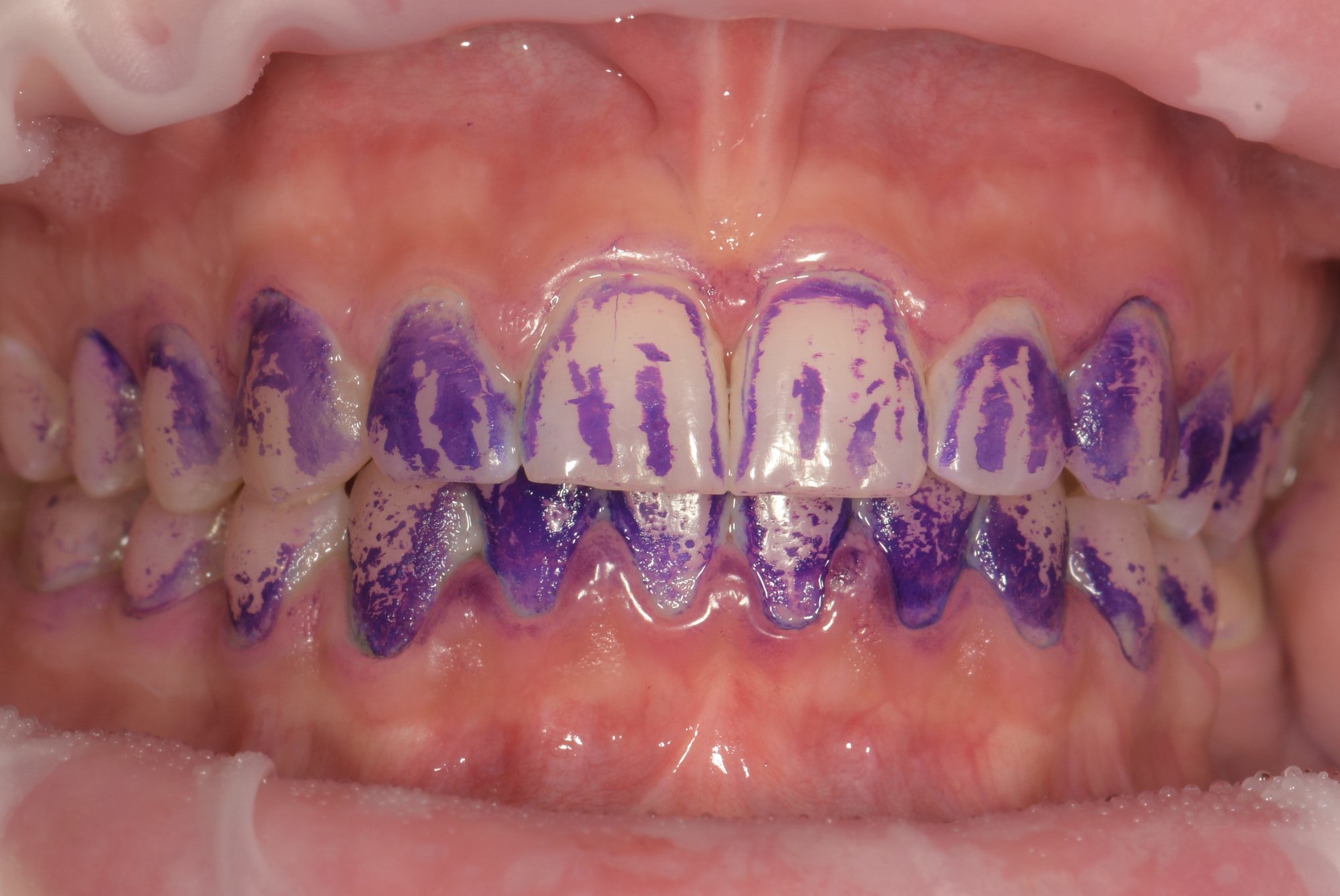
До

Після

Професійне чищення зубів

Чому професійна чистка краще домашньої ?

Професійне чищення зубів дає прекрасні результати, так як дозволяє не тільки зняти зубні відкладення, але й відполірувати зубні поверхні. Мікробам і харчовим забрудненням складніше прикріплятися до гладкої емалі, тому після процедури швидкість накопичення нальоту на зубах знижується.
Чищення зубів у стоматолога відрізняється максимальною ефективністю, оскільки у фахівця набагато кращий огляд ротової порожнини пацієнта, ніж у самого пацієнта. Стоматолог усуває наліт з усіх ділянок, включаючи ті, які пацієнт не бачить, або до яких не дістає.
Чищення зубів ультразвуком або іншим спеціальним приладом позбавляє від затверділого нальоту - зубного каменю. У домашніх умовах неможливо зняти зубний камінь, не пошкодивши емалеву поверхню зубних одиниць.

Запис на чистку в стоматологію

Професійне чищення зубів – послуга, яка досі викликає подив і здивування у людей, які не надають особливого значення стану ротової порожнини. Адже загальновідомо, що стоматологи - це лікарі, і вони займаються лікуванням зубів, а про гігієну слід дбати самостійно. Безумовно, чистити зуби щодня необхідно. Але два-три рази на рік фахівці радять записуватися на гігієнічні процедури в стоматологічну клініку.
Професійне чищення зубів, ліквідуються максимум мікробів, має не менше значення, ніж точна діагностика стоматологічних захворювань та їх якісне лікування. Зубний наліт є основним джерелом шкідливих мікроорганізмів в порожнині рота та головною причиною появи стоматологічних проблем. Чим більше нальоту накопичується на зубах, тим вразливіші стають ясна та зубні тканини. Чищення зубів у стоматолога - захід профілактичний, а потім вже естетичний.
Професійне чищення зубів допомагає не тільки природної зубної емалі протистояти мікробам. Час від часу потрібно полірувати та очищати реставрації, встановлені в порожнині рота. Пломби, коронки та вініри, працюють нарівні з натуральними зубними тканинами, але більш схильні до руйнування під впливом мікробів. Однак від того, наскільки вони чисті, залежить їх естетика та довговічність. Не можна ігнорувати необхідність профгігієни й людям, які проходять ортодонтичне лікування. Брекети та інші лікувальні пристрої дуже ускладнюють самостійність гігієнічної процедури.

Відгуки